De Belgische wielerster Wout van Aert maakt gestaag vooruitgang in zijn herstel na een ernstige enkelblessure en artsen hebben nu bevestigd dat zijn revalidatie de goede kant op gaat. De 29-jarige liep eerder deze maand een fractuur op tijdens de Zilvermeercross in Mol, waardoor hij een operatie moest ondergaan en zijn veldrijseizoen werd onderbroken.
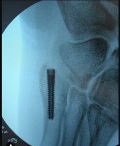
Het medisch team meldt dat de operatie succesvol is verlopen en dat de eerste fase van het herstel goed verloopt. De zwelling en ontsteking rond de enkel zijn aanzienlijk afgenomen en Van Aert heeft een deel van zijn mobiliteit teruggekregen – een belangrijke indicator dat zijn lichaam goed reageert op de behandeling. Artsen zijn met name tevreden over de stabiliteit van de enkel en merken op dat de pezen en ligamenten rond de fractuur intact en gezond zijn gebleven, wat het risico op complicaties op lange termijn aanzienlijk verkleint.

Als onderdeel van zijn revalidatie is Van Aert al begonnen met lichte fietstochten in de buitenlucht onder strikt medisch toezicht. Deze eerste ritten zijn bedoeld om de cardiovasculaire conditie op peil te houden en het geblesseerde gebied voorzichtig te stimuleren zonder de enkel te veel te belasten. Hoewel deze stappen klein lijken, benadrukken artsen dat ze cruciaal zijn voor een soepel en volledig herstel. Ze leggen de basis voor de intensievere training die hij uiteindelijk nodig zal hebben voordat hij terugkeert naar de wedstrijden.

Ondanks de bemoedigende tekenen dringt het medische team aan op geduld. Volledig herstel kost tijd en te snel te veel van het goede krijgen kan de tot nu toe behaalde vooruitgang tenietdoen. De huidige schattingen suggereren dat Van Aert ongeveer drie maanden nodig heeft om volledig terug te keren naar wedstrijden op topniveau, hoewel de tijdlijn kan variëren afhankelijk van hoe zijn enkel de komende weken reageert.
Teammedewerkers blijven optimistisch maar voorzichtig en benadrukken dat de focus moet liggen op de gezondheid op lange termijn in plaats van te snel terug te keren naar de wedstrijden. Als het herstel in het huidige tempo doorgaat, zou Van Aert later deze winter de meer gestructureerde training kunnen hervatten, met de hoop in maart terug te keren naar het wegseizoen.
Voor fans van de Belgische superster biedt de laatste update geruststelling: Wout van Aert is aan de beterende hand, zijn herstel verloopt zonder complicaties en zijn weg terug naar de top is al begonnen. De artsen hebben er vertrouwen in, het team is hoopvol en de wielwereld volgt Van Aert op de voet terwijl hij elke zorgvuldig afgemeten stap zet richting zijn comeback.









